Invisalign® – The clear comfortable way to straighten your smile in Northumberland
Straighten your teeth without any metal brackets and wires. With discreet, removable Invisalign® clear aligners, we'll have you smiling all the way through treatment.
I have recently completed my Invisalign treatment at Neo, the process from beginning to end has been great. Fantastic support and professionalism from Hamza and Carla! I would definitely recommend their service!


Book a free consultation
Benefits of Invisalign® with Neo Orthodontics in Newcastle


What is Invisalign®?
Invisalign® treatment straightens your smile with a series of clear custom trays that look a bit like thin sports mouthguards. These trays, called aligners, are virtually invisible when worn, so no one needs to know you're having treatment.
Best yet, Invisalign® clear aligners are removable! As long as you remember to wear them for the recommended 22 hours a day, you can take them out for meals, important events, and brushing and flossing. Unlike traditional braces, Invisalign offers greater flexibility while effectively straightening your teeth.
100+ years of specialist care in Newcastle - Orthodontics is all we do, every day
At Neo Orthodontics, your treatment is led by specialist orthodontists, not general dentists. This means your care is in the hands of specialists who have undergone years of additional training, focusing solely on straightening teeth and perfecting smiles. Our team lives and breathes teeth straightening — ensuring you get the best possible results, faster and more efficiently.
- 100+ years of combined experience in teeth straightening
- Award-winning specialists with industry recognition
- Advanced treatment planning using cutting-edge technology
.avif)
How does Invisalign® treatment work in Northumberland?
When you visit our practice for your orthodontic consultation, we will use our 3D scanner to make an accurate digital model of your smile. We can use this model to plan your treatment with exacting precision - and also show you what your smile will look like at the end of treatment!
Once we've created your custom treatment plan, we will design a series of aligners made for your exact smile goals. Each set of aligners is shaped slightly differently, and we'll instruct you to switch to a new set every couple of weeks to guide your teeth into proper alignment. For complex cases, we might recommend combining Invisalign with our Dental Monitoring service for optimal results.
Types of Invisalign® treatment in Northumberland
At Neo Orthodontics, we offer four types of Invisalign® treatment:

Invisalign® Comprehensive
This is the full Invisalign® treatment option for adults and teens. It usually lasts between 12 to 24 months and is suitable for most orthodontic cases. For our teen patients, we also add blue wear indicators to help them remember to wear their aligners.

Invisalign® Lite
This is a treatment for patients with minor misalignments in their front six teeth. Invisalign® Lite can help you achieve results in as little as six months.

Invisalign® Express
This is the fastest Invisalign® treatment option. If you have just slight misalignments in your front six teeth, Invisalign® Express can align your smile in just three months!

Invisalign® First
This is an Invisalign® treatment made specifically for small smiles ages 6-10. It helps to guide the growth of a child's jaws and make room for current and incoming teeth. This can shorten (or prevent the need for) treatment with braces in the teenage years.
Invisalign
£3,995
£92.89
£3,995
£92.89
.avif)

Flexible, affordable treatment packages in Northumberland and Newcastle
A straighter smile is within reach with our 0% interest finance options. Spread the cost over 6-18 months or choose extended plans up to 60 months. No mandatory deposit required. For more details, visit our prices and plans page.
- Free consultations
- Inclusive retainer checks
- Free brace care kits
- Repair coverage during treatment
A seamless stress-free experience in Northumberland
Here's what to expect on your journey with us...

Free consultation
Meet our team, explore your options & get a personalised treatment plan. With our Treatment Coordinator, you'll see brace options, have clinical photos taken, and we can even show you a simulation of your future smile.

Specialist consultation
A full assessment with one of our specialist orthodontists for treatment planning and records such as x-rays. This appointment costs £95 (non-refundable but deducted from treatment), or £50 if booked immediately after your free consultation.

Treatment planning
Your specialist will create your personalised Invisalign treatment plan. Sometimes this happens in the same appointment as your consultation, allowing for same-day starts when possible.
.avif)
Start treatment
Begin your smile transformation journey with your custom Invisalign aligners. You'll receive detailed instructions on how to wear them and care for them.

Regular check-ups
Regular monitoring appointments to check your progress and provide new sets of aligners as needed. With our Dental Monitoring app, many of these check-ins can be done remotely.

Completion
Once your treatment is complete, you'll receive retainers to maintain your new smile, along with 12 months of retainer checks at 3 and 12 months.



Book your free Invisalign consultation at Neo Orthodontics
Your first consultation with Neo Orthodontics is completely free, and there is never any obligation to proceed with treatment.
.avif)

Track your treatment progress from anywhere with our cutting-edge Dental Monitoring app
Powered by one-of-a-kind AI and the industry's largest dental image database.
Fewer
Faster
Remote
Support

We're leading Invisalign® Providers in the North East!
Neo Orthodontics is a top Invisalign® provider in Newcastle and Northumberland. Align Technology recognises our excellence in treating over 100 patients a year with Invisalign® clear aligners.
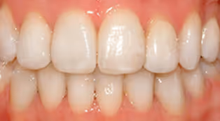
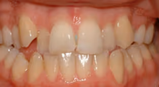
See our stunning before and after results to appreciate the transformations we've achieved for our patients.
Frequently asked questions about Invisalign® in Newcastle and Northumberland
Most Invisalign treatments at our Newcastle and Northumberland practices take between 6-18 months, depending on your individual case complexity. Minor corrections may take as little as 3-6 months with Invisalign Express or Lite, while more comprehensive treatments typically take 12-18 months. During your free consultation, we'll provide you with a personalised treatment timeline.
Invisalign is generally considered more comfortable than traditional braces. You may experience some mild pressure or discomfort for a few days when switching to a new aligner set, but this is typically minimal and temporary. Our Alnwick, Ashington, and Newcastle patients consistently report that Invisalign is a comfortable orthodontic option.
Invisalign treatment at NEO Orthodontics starts from £3995 for adults and children. We offer flexible payment plans with 0% interest options for up to 18 months and extended payment plans up to 60 months. The exact cost depends on your treatment complexity and will be provided during your consultation at any of our four locations.
You should remove your aligners when eating or drinking anything other than cool water. This is one of the major benefits of Invisalign compared to fixed braces - there are no food restrictions! Just remember to brush your teeth before reinserting your aligners to maintain good oral hygiene. Our patients across Quayside, West Road, and the entire North East appreciate this flexibility.
For optimal results, you should wear your Invisalign aligners for 20-22 hours per day, removing them only to eat, drink, brush, and floss. Consistency is key to staying on track with your treatment plan and achieving the best results in the shortest time possible.
Yes! Invisalign Teen is specifically designed for younger patients and includes special features like compliance indicators to track wear time and allowances for erupting teeth. Many of our teenage patients across Northumberland and Newcastle choose Invisalign over traditional braces for its aesthetic advantages and lifestyle flexibility.
Clean your aligners daily using lukewarm water and a soft toothbrush. Avoid hot water as it can warp the plastic. Special Invisalign cleaning crystals are also available. Never use toothpaste on your aligners as it can be abrasive and cause scratches that make them more visible and can harbor bacteria.
Yes, in many cases it's possible to switch from traditional braces to Invisalign. This depends on your specific orthodontic needs and treatment progress. During a consultation at any of our practices in Alnwick, Ashington, Quayside, or West Road, our specialist team can evaluate your current situation and advise if switching is appropriate for you.

Absolutely thrilled with my new smile following my orthodontic treatment with Neo. Dr Parvez was super skilled and professional, a great communicator, friendly, and always gentle during interventions. The whole team were superb, reassuring, and responsive at all times, especially very early on when I had a couple of issues with new braces. I can’t fault any of the treatment, and my expectations have been exceeded by the results. Highly recommended.
My daughter has been receiving care from Neo for the last 14 months due to having braces fitted and I can’t fault them. The care from the outset has been amazing and the staff are extremely friendly and professional.
Creating confident smiles across the North East since 2010
With four modern clinics across Newcastle & Northumberland, specialist care is never far away.
- Evening & weekend appointments available
- Free on-site parking at Ashington, Alnwick & West Road
- 5-minute walk from the train station at Quayside
- LGBTQ+ friendly, inclusive environment
Unit 2 Towergate Lagny St, Alnwick, Northumberland, NE66 1NJ
79 Station Road, Ashington, Northumberland, NE63 8RS
(Phones closed from 12:30-1:30)
Hanover Mill, 98-100 Close, Quayside, Newcastle Upon Tyne, NE1 3RF
UNIT 3, Condercum House, 171 West Rd, Newcastle upon Tyne NE15 6PQ
.avif)



%2079225.avif)




















